Case Study: Shockwave for Achilles Tendonitis

According to Paul Hobrough - whose Shockwave knowledge (both as a therapist and educator) has earned him a reputation as an expert in the field - the treatment has an 82% success rate and can improve your healing time by as much as 40%.

Shockwave works by stimulating your cells to repair and is a form of regenerative medicine. The device produces a physical and acoustic wave which is directed into your body's affected tissue, ultimately kick-starting the healing process. It is faster, more specific and more powerful than any other therapy treatment used to date.

Activ Case Study 

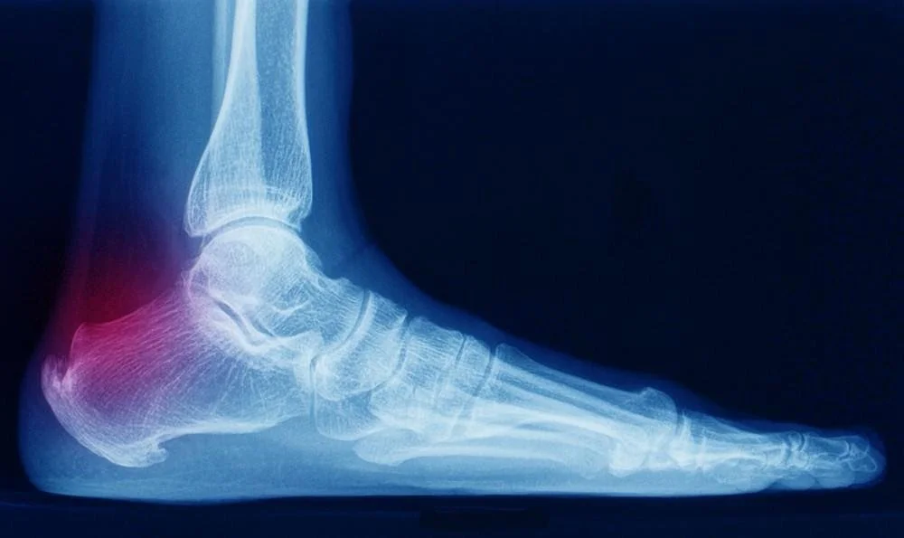
The patient came to our Sheffield physiotherapy clinic with a swollen Tendo-Achilles (TA) and it was painful for them to bear any weight on the affected left ankle (see picture, top left). They suffered significant pain when climbing stairs they really wanted to manage the condition and prevent any surgical reconstruction which would involve hospitalisation.

before-achilles-tendon-shockwave

Before Treatment: Image shows swelling along the Achilles Tendon

The physio decided the best course of treatment would be two sessions of Shockwave therapy, along with therapeutic taping to give the patient's tissues plenty of time to heal and recover. Along with Shockwave, the patient was advised to continue with ice-packs twice a day to prevent any undue load on the ankle. This was standard practice for two weeks. The ice application was stopped and the patient was started on 'eccentric loading training' (muscle lengthening while under load) to increase the strength of their Achilles.

after-shockwave-treatment

After Treatment: Image showing the significant reduction in swelling along the achilles tendon

After the first session, the patient could feel a significant decrease in pain and a slight improvement in range of motion of their joint, which kept improving through their treatment course with the patient gaining confidence and mobility. Over the course of just six sessions, the patient was practically pain-free and again underwent eccentric loading exercises to improve their strength. 

By the fourth week, the patient had completely recovered with no pain whatsoever - even when they were standing solely on their treated leg. They were also pain-free when walking long distances.

The swelling had gone down (see picture, top right) and the patient was very satisfied with the Shockwave treatment which resulted in the desired outcome.

The Achilles Tendon

achilles -tendon

THE ACHILLES TENDON is a strong, fibrous cord that connects the muscles in the back of your calf to your heel bone. The most common signs of Achilles Tendonitis, which typically begins as a mild ache in the back of the leg or above the heel, include: Pain at the site of your tendon, stiff joints (or difficulty moving your joints), hearing or feeling a cracking or popping sensation when you move, or swelling with skin discolouration (red to purple or darker than your natural skin tone). Achilles Tendonitis can happen to anyone (not just those involved in playing recreational sports), although runners who run long distances, suddenly increase their training or wear shoes without proper support have a higher risk. Most cases can be treated and self-care strategies may be necessary to prevent recurring episodes.

Shockwave Therapy

shockwave-treatment-therapy

SHOCKWAVE THERAPY uses a special device which produces a physical and acoustic wave to treat affected tissues. Most patients report some discomfort during treatment but it is not painful. Mild swelling, bruising or aches may be experienced a few days later but major side effects are extremely rare. Shockwaves are mechanical and not electrical and work by increasing blood flow to the injured area to accelerate the body's healing process.

If you would like to speak to one of the team about Shockwave therapy, call one of our friendly teams at or physiotherapy clinics on:

Totley: 0114 235 2727

Hope: 01433 623 602

Previous
Previous

A Patient Profile - Why A Low-Impact Sport has Bowled Harriet Over

Next
Next

Coming Soon! “Activ Physio Kids” - Our New Clinic For Young Sports Players